Fibrilación auricular. La nueva Epidemia en la cardiología

Importancia de la detección temprana y nuevas tecnologías terapéuticas

Introducción

La fibrilación auricular (FA) constituye la arritmia más frecuente dentro de la práctica clínica. Se presenta en el 1 al 5% de la población mundial, pero su prevalencia aumenta a medida que las personas envejecen llegando a afectar al 18% de los mayores de 80 años (Estudios Framingham, clínica mayo, Olmsted County y west Australia). Es importante destacar que estos datos son subestimados ya que se refieren únicamente a la FA persistente, es decir aquella que el paciente presenta de manera constante, por lo cual no incluye a aquellos pacientes que presentan episodios aislados o de corta duración alternando con ritmo normal (FA Paroxística) que se encuentran expuesto de similar manera a las consecuencias clínicas de esta enfermedad.

Manifestaciones clínicas

La frecuencia cardíaca irregular y ocasionalmente rápida es la responsable de los efectos clínicos en los pacientes con FA, que pueden dividirse en:

  • Síntomas propios de la enfermedad vinculados a alteración del ritmo cardíaco: palpitaciones (percepción de los latidos cardíacos), taquicardias o latidos irregulares (frecuencia cardíaca elevada), disnea (sensación de falta de aire), mareos y molestias precordiales.
  • Riesgo de padecer otras enfermedades:
    • Aumenta 4 a 5 veces el riesgo de presentar un accidente cerebro vascular (ACV).
    • Duplica el riesgo de presentar demencia.
    • Triplica el riesgo de presentar Insuficiencia cardíaca.
    • Aumenta en un 40% el riesgo de mortalidad total (Benjamin EJ, et al. Cirulation 2009; 119: 606-618).

Ha sido demostrado que aquellos pacientes que tienen agregado un riesgo ya elevado de padecer un evento cardiovascular tales como los HTA, dislipémicos, la presencia de FA por si sola aumenta la mortalidad, los IAM, los ACV y la posibilidad de desarrollar insuficiencia cardíaca empeorando el pronóstico y sobrevida de los mismos (ALLHAT trial. Journal of Am Coll Cardiol. Vol 54. Nº 22. 2009).

La asociación de FA con ACV es una presentación no poco frecuente. Cuando el paciente presenta FA, la aurícula se contrae tan rápidamente que no produce una contracción efectiva, lo que conlleva a que la sangre en su interior pierda velocidad, adopte un régimen turbulento y favorezca en la orejuela de la AI la formación de trombos. Si un fragmento del trombo de desprende se produce la embolia. Ciertos pacientes con características particulares vinculadas a la edad, sexo, la presencia de HTA o diabetes, antecedentes de ACV previo o de enfermedad vascular y antecedentes de insuficiencia cardíaca son consideradas poblaciones de riesgo donde cada factor tiene un efecto aditivo en la posibilidad de presentar en su evolución un ACV.

Presentación clínica

Se conoce que no todas las FA son iguales describiéndose diferentes presentaciones clínicas sin embargo debería considerarse como estadios evolutivos distintos de una misma enfermedad. Inicialmente la mayoría de los pacientes tiene episodios autolimitados de FA, los que en el tiempo se van haciendo más frecuentes y prolongados hasta finalmente llegar a los episodios de arritmias sostenidos.

Se define como:

  • FA paroxística: aquel episodio de arritmia que se interrumpe de manera espontanea dentro de las 48hs de iniciado los síntomas pudiendo durar hasta una semana.
  • FA persistente: Donde el episodio de arritmia se extiende por más de 7 días o que necesita para retornar al ritmo normal una internación médica ya sea mediante fármacos o con un choque eléctrico.
  • FA permanente: Cuando la situación clínica del paciente o por decisión medica no es posible mantener el ritmo sinusal.

Tratamiento

Los síntomas periódicos que padecen los pacientes lo llevan a la necesidad de recibir un tratamiento específico principalmente enfocado a la mejoría clínica de los mismos.

Farmacológico

Los fármacos antiarrítmicos presentan eficacia limitada, ya que solo controlan los síntomas entre el 50-60% de los casos en el seguimiento a 12 meses. El fármaco más eficaz en nuestro medio continua siendo amiodarona, sin embargo su toxicidad presente en un no despreciable número de casos impide el tratamiento de todos los pacientes. La selección de una estrategia farmacológica debe considerar:

  • Que el tratamiento está dirigido a reducir los síntomas relacionados con la FA.
  • Que la eficacia de los fármacos antiarrítmicos para mantener el ritmo sinusal es moderada.
  • Que el tratamiento antiarrítmico farmacológico que tiene éxito clínico puede reducir pero no eliminar la recurrencia de la FA.
  • Las proarritmias inducidas por fármacos o los efectos secundarios cardíacos o toxicidad son frecuentes.

Todo esto lleva a la necesidad de desarrollar nuevas estrategias para los pacientes refractarios a fármacos además de buscar una herramienta con fines curativos de la enfermedad.

Intervencionista

La ablación de venas pulmonares constituye la piedra angular en el tratamiento invasivo de la FA. Sabiendo que el 90% de los focos ectópicos que producen la FA se encuentra en el interior de las venas pulmonares, el desarrollar lesiones de manera circunferencial alrededor de las mismas (con la posterior evolución de estas lesiones a cicatrices), permiten conseguir el aislamiento eléctrico de estas estructuras y de esta manera el control del ritmo cardíaco.

Es importante considerar que el tiempo de enfermedad es determinante para mejorar los resultados de estas intervenciones. Se conoce que a medida que la FA avanza o persiste en el tiempo,  la Aurícula Izquierda (AI) sufre sus consecuencias. Los pacientes con FA paroxística y con diagnostico ms reciente de FA tienen habitualmente un menor grado de fibrosis en la AI que los pacientes con FA persistente o historia de FA de larga data. Este grado de fibrosis o enfermedad en la AI es de significancia en la eficacia de los tratamientos cualquiera sea, por lo tanto el “tiempo importa” y es necesario un diagnóstico precoz y una selección de tratamiento efectivo sin demora. [J Cardiovasc Electrophysiol. 2011 Jan;22(1):16-22. Atrial fibrosis helps select the appropriate patient and strategy in catheter ablation of atrial fibrillation: a DE-MRI guided approach.]

Figura I: Grado de fibrosis de AI directamente vinculado al tiempo de evolución de FA y al tipo de FA. Notese en azul el tejido sano y en verde el tejido enfermo por RM.

Actualmente existe un consenso en cuanto a la indicación en una Ablación de Fibrilación auricular (Rev Esp Cardiol. 2017;70:50.e1-e84 – Vol. 70 Núm.):

  • FA paroxística en ptes sintomáticos refractarios a Fármacos. Clase I. Nivel de evidencia B.
  • Como primera línea terapéutica en FA paroxística. Clase IIa. Nivel de evidencia B.
  • FA asociada a Insuficiencia Cardiaca considera que la ablación puede ser útil. Clase IIa. Nivel de evidencia C.
  • FA persistente con el objetivo de mejorar calidad de vida y síntomas considerando riesgo y beneficios individuales. Clase IIa. Nivel de evidencia C.

Tecnologías

Existen dos tecnologías disponibles para el tratamiento intervencionista percutáneo de la FA con intención curativa:

  • Ablación por radiofrecuencia punto por punto utilizando sistemas de Navegación.
  • Crioablación con catéter balón.

Ablación por radiofrecuencia punto por punto. Utiliza un sistema de mapeo no radioscópico, cuyo software permite reconstruir una cascara interna de la cavidad cardíaca (AI y venas pulmonares) sobre la cual una vez definida (primera etapa: Reconstrucción geométrica) se procede a realiza lesiones con un catéter de ablación (segunda etapa: Ablación) alrededor de las venas pulmonares, en su desembocadura a la AI hasta lograr el aislamiento eléctrico de las mismas, es decir desconectar eléctricamente las venas pulmonares de la AI.

Figura II: a la izquierda esquema de ablación punto por punto alrededor de las venas pulmonares. A la derecha sistema de mapeo no radioscópico con lesiones en amarillo alrededor de las Venas pulmonares derechas observándose en el registro endocavitario en blanco el aislamiento.

Crioablación con catéter balón. Es una tecnología que utiliza un catéter balón, el cual va plegado sobre un vaina, ingresando desinflado a la AI donde allí se insufla para ser colocado en la boca de cada vena pulmonar (en su desembocadura a la AI) luego de lo cual, cuando el contacto es adecuado se procede a enfriar en su interior mediante un gas que congela al balón y al tejido circundante produciendo una lesión por frío.

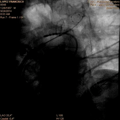
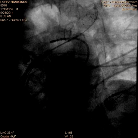
Figura III: a la izquierda esquema de ablación con criobalón. A la derecha imagen radiologíca observándose el balón con el sistema en la Vena pulmonar superior izquierda.

Ambas tecnologías han demostrado ser seguras, con una baja incidencia de complicaciones (5-7% con <0.2% mortalidad) y eficaces (aproximadamente del 70% para FA paroxísticas y 50-60% para FA persistente) en el control de ritmo cardíaco, sin nuevos episodios sintomáticos en el seguimiento mayor de un año.

La Crioablación con catéter balón a demostrados ser una tecnología más simple y rápida en lograr el aislamiento de venas pulmonares, disminuyendo los tiempos de procedimiento de 140±20min para la ablación punto por punto a 60±20min. Además en el seguimiento a largo plazo ha demostrado que aunque el éxito en FA paroxística es similar (72% libre de FA) los pacientes que recibieron una crioablación necesitaron en menor medida repetir la ablación (11.8% con crioablacion vs. 17.6% con radiofrecuencia punto por punto; p = 0.03) realizarse una cardioversión por FA persistente (3.2% con crioablación vs. 6.4% con radiofrecuencia punto por punto; p = 0.04) y hospitalizarse o re-hospitalizarse por cualquier causa: 32.6% con crioablación vs. 41.5% con radiofrecuencia punto por punto; p = 0.01) [Kuck KH, Fürnkranz A, Chun KR, et al., on behalf of the FIRE AND ICE Investigators. Cryoballoon or radiofrequency ablation for symptomatic paroxysmal atrial fibrillation: reintervention, rehospitalization, and quality-of-life outcomes in the FIRE AND ICE trial. Eur Heart J 2016;Jul 5:].

Recientemente se ha puesto en evidencia además el beneficio del tratamiento intervencionista para un grupo de paciente en particular. Los pacientes que presentan Insuficiencia cardíaca con deterioro severo de la Función ventricular izquierda con FA son considerados un grupo de alto riesgo y en general de mal pronóstico. En ellos la ablación ha demostrado ser de gran utilidad en un estudio prospectivo doble ciego donde se observó disminución de todas las causas de muerte e internaciones por empeoramiento de insuficiencia cardíaca comparada con el tratamiento estándar. De esta evidencia se desprende que para este grupo de pacientes debe considerarse un tratamiento más invasivo de primera línea. (Catheter Ablation for Atrial Fibrillation with Heart Failure. Nassir F. Marrouche, M.D. et all for the CASTLE-AF Investigators* February 1, 2018 N Engl J Med 2018; 378:417-427 DOI: 10.1056/NEJMoa1707855).

Conclusiones

Ha sido demostrado que la FA se encuentra asociada a una mayor posibilidad de enfermar y contraer patologías cardiovasculares serias, algunas de ellas invalidantes.

Las drogas antiarrítmicas solo sirven en una fracción de pacientes, pudiendo además traer efectos proarrtímicos o problemas por toxicidad.

La posibilidad de cura para los pacientes está íntimamente asociada al tiempo de evolución de la enfermedad, teniendo mayores chances de éxito cuando mas tempranamente se aborda el problema.

El tratamiento intervencionista cuyo fin es lograr el Aislamiento de las venas pulmonares, principales culpables de esta patología, es igual de seguro y eficaz tanto con la ablación con Radiofrecuencia punto por punto que con Crioablación con balón, mostrando esta última algunos beneficios clínicos para los pacientes que presentan una recurrencia de la enfermedad.

Los pacientes con Insuficiencia cardíaca asociada a FA, constituyen un grupo de Alto riesgo y difícil tratamiento, sin embargo son lo que obtienen mayores beneficios en adoptar una conducta más invasiva desde un primer momento.

Dr. Alejandro A. Palazzo.
Especialista en Electrofisiología Cardíaca.
MN:129.608 MP:7076
Contacto mail: alejandropalazzo@icloud.com